´« ¾ÈÀÇ Á¡ÀÌ ¾Ç¼º Á¾¾çÀÌ µÉ ¼ö ÀÖ´Ù´Â »ç½Ç, ´ç½ÅÀº ¾Ë°í ÀÖ³ª¿ä?

ÀÔ·Â : 21.03.25 21:57|±è¹Î |´ñ±Û 0

³ªµéÀÌÇϱâ ÁÁÀº °èÀý, º½ÀÌ Ã£¾Æ¿Ô´Ù. Äڷγª19 ¶§¹®¿¡ ÀÚÀ¯·Ó°Ô ¹Ù±ù Ȱµ¿À» ÇÏ±â ¾î·ÆÁö¸¸, ¸¶½ºÅ© Âø¿ë ¹× °³Àι濪¼öÄ¢À» ÁöŰ¸é¼­ ¾ß¿ÜȰµ¿À» ÇÏ·Á´Â »ç¶÷µé·Î ÁÖ¿ä °ü±¤ÁöµéÀÌ ºÏÀûÀ̰í ÀÖ´Ù. ¾ß¿ÜȰµ¿À» ÇÒ ¶§ ¼±Å©¸² ¹× ¼±±Û¶ó½º¸¦ »ç¿ëÇϸé ÇǺο¡ Á¡ÀÌ »ý±â°Å³ª ´«¿¡ ¹é³»ÀåÀÌ »ý±â´Â °ÍÀ» ¿¹¹æÇϴµ¥ ¸Å¿ì È¿°úÀûÀÌ´Ù.  

±×·±µ¥ ´« ¼Ó¿¡µµ Á¡ÀÌ »ý±æ ¼ö ÀÖ´Ù´Â »ç½ÇÀ» ¾Ë°í Àִ°¡? ÇǺο¡ Á¡ÀÌ »ý±â´Â °Í°ú ¸¶Âù°¡Áö·Î, ´« ÁÖÀ§ ¹× ´« ¼Ó¿¡µµ Á¡ÀÌ »ý±æ ¼ö ÀÖ´Ù. Á¡Àº ÇǺο¡ °¡ÇØÁö´Â Àڿܼ± ÀÚ±ØÀ¸·ÎºÎÅÍ ÇǺθ¦ º¸È£Çϱâ À§ÇØ ¸á¶ó´Ñ ¼¼Æ÷(melanocyte)°¡ ¸ðÀ̰í Áõ½ÄÇÏ¿© »ý±ä´Ù. ¸á¶ó´Ñ ¼¼Æ÷µéÀÌ ¸ð¿© Á¡À» ¸¸µå´Âµ¥, ÀÌ·¯ÇÑ ¸á¶ó´Ñ ¼¼Æ÷µéÀÌ ºñÁ¤»óÀûÀ¸·Î Áõ½ÄÇÒ °æ¿ì ¸ð¹Ý(Ù¾Úè, nevus)À̶ó°í ºÎ¸£´Â, µÕ±Û°í ºÒ·è ¼Ú¾Æ³­ º´º¯ÀÌ »ý±ä´Ù.  
 
 
Ãâó:Â÷ ÇÑ ÀÜÀÇ ¿©À¯ ºí·Î±×
 
 
´« ¼Ó¿¡´Â Ä«¸Þ¶óÀÇ Çʸ§¿¡ ÇØ´çÇÏ´Â ¸Á¸·(retina)À̶ó´Â ½Å°æ Á¶Á÷ÀÌ ÀÖÀ¸¸ç, ÀÌ ¸Á¸·¿¡ ¸ÎÈù À̹ÌÁö¸¦ ½Ã°¢ °æ·Î¸¦ ÅëÇØ ³ú·Î Àü´ÞÇϰí, ¸Ó¸®¿¡¼­ ¿µ»óÁ¤º¸¸¦ ÇØ¼®ÇÏ¿© ¿ì¸®°¡ »ç¹°À» º¼ ¼ö ÀÖ´Ù. ¸Á¸·ÀÇ ¹Ù±ùÂÊ¿¡´Â ¸Æ¶ô¸·(choroid)À̶ó´Â Á¶Á÷ÀÌ ÀÖ¾î ¸Á¸·¿¡ »ê¼Ò¿Í ¿µ¾çºÐÀ» °ø±ÞÇϴµ¥, ´« ¼ÓÀÇ Á¡Àº ÁÖ·Î ÀÌ ¸Æ¶ô¸· ºÎÀ§¿¡ »ý°Ü ¸Æ¶ô¸· ¸ð¹Ý(choroidal nevus)À̶ó°í ÇÑ´Ù. 

¿ì¸®°¡ ÇǺο¡ Á¡ÀÌ »ý°å´Ù°í ÇØ¼­ ¸ðµç Á¡À» Á¶Á÷°Ë»çÇÏÁö´Â ¾Ê´Â °Í°ú °°ÀÌ, ´« ¼Ó¿¡ »ý±ä ¸Æ¶ô¸· ¸ð¹ÝÀÌ ¸ðµÎ Á¶Á÷°Ë»ç¸¦ ÇÊ¿ä·Î ÇÏ´Â ¾Ç¼º Á¾¾çÀº ¾Æ´Ï´Ù. ÇÏÁö¸¸ ÇǺο¡ »ý±ä Á¡ÀÌ ÀÌ»ó¼Ò°ßÀ» º¸À̸ç Ä¿Áö´Â °æ¿ì ¾Ç¼ºÀ» ÀǽÉÇϰí Á¶Á÷°Ë»ç¸¦ ½ÃÇàÇÏ´Â °Íó·³, ´« ¼Ó¿¡ »ý±ä ¸Æ¶ô¸· ¸ð¹ÝÀÇ °æ¿ì¿¡µµ ¾Ç¼ºÀ» ½Ã»çÇÏ´Â ¼Ò°ßÀÌ Á¸ÀçÇÑ´Ù.
 
 
Ãâó:Â÷ ÇÑ ÀÜÀÇ ¿©À¯ ºí·Î±×
 
 
ÀÌ·¯ÇÑ °æ¿ì ¾Ç¼º Á¾¾çÀÎ ¸Æ¶ô¸· Èæ»öÁ¾(choroidal melanoma)ÀÇ °¡´É¼ºÀ» Æò°¡¹Þ±â À§ÇØ ¾È±¸ Á¾¾ç Àü¹®ÀÇÀÇ Áø·á¸¦ ¿äÇÑ´Ù. 

¸Æ¶ô¸· Èæ»öÁ¾Àº ¾È±¸³» ¹ß»ýÀ§Ä¡¿¡ µû¶ó ´Ù¸£Áö¸¸ Ãʱ⿡´Â ÀϹÝÀûÀ¸·Î ¾È°úÀû Áõ»óÀ» µ¿¹ÝÇÏÁö´Â ¾Ê´Â´Ù. ÇÏÁö¸¸ Á¾¾çÀÌ ÁøÇàÇϸ鼭 ÀÌÂ÷ÀûÀÎ ¸Á¸·¹Ú¸® ¹× ¸Á¸·ÇÏ¾× µî¿¡ ÀÇÇØ ½Ã¾ß°á¼ÕÀ̳ª ½Ã·ÂÀúÇÏ µîÀÇ Áõ»óÀÌ »ý±æ ¼ö ÀÖ´Ù. ÁøÇàÇÒ °æ¿ì ºÒ·èÇÑ µ¼ ¸ð¾ç(dome shaped)ÀÇ À¶±âµÈ º´º¯À¸·Î Ä¿Áö¸ç, ¹ö¼¸ ¸ð¾ç(mushroom-shaped)À¸·Î º¸À̱⵵ ÇÑ´Ù. 

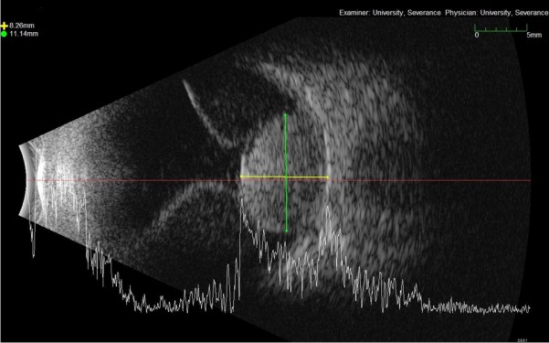
¸Æ¶ô¸· Èæ»öÁ¾Àº ȸ»öÀ̳ª °¥»öÀÇ Á¾¾çÀÌ ¸Á¸· ¹Ø ¸Æ¶ô¸· ºÎÀ§¿¡ À§Ä¡Çϸç, ´ë°³ 2mm ÀÌ»óÀ¸·Î µÎ²®´Ù. ¸Á¸· ¾Æ·¡¿¡ ¹°ÀÌ Â÷´Â ¸Á¸·ÇϾ×ÀÌ µ¿¹ÝµÇ´Â °æ¿ì°¡ ¸¹À¸¸ç, Àå¾×¼º ¸Á¸·¹Ú¸®¸¦ µ¿¹ÝÇϱ⵵ ÇÑ´Ù. ¿À·»Áö»ö »ö¼ÒÄ§ÂøÀÌ µ¿¹ÝµÉ ¼ö ÀÖÀ¸¸ç, ¸Æ¶ô¸· Èæ»öÁ¾¿¡ Ç÷¾×À» °ø±ÞÇÏ´Â Ç÷°üÀÌ ÈòÀÚÀ§¿¡¼­ º¸À̱⵵ ÇÑ´Ù. Å©±â°¡ Å« ¸Æ¶ô¸· Èæ»öÁ¾Àº ´«ÀÇ ±¸Á¶¸¦ º¯Çü½ÃÄÑ ³ì³»ÀåÀ» À¯¹ßÇÒ ¼öµµ ÀÖ´Ù.
 
 
¾È±¸ ÃÊÀ½ÆÄ »çÁø. ¾È±¸ ÃÊÀ½ÆÄ °Ë»ç¸¦ ÅëÇØ ¾à 10mm Å©±âÀÇ ¸Æ¶ô¸· Èæ»öÁ¾ ¹× µ¿¹ÝµÈ Àå¾×¼º ¸Á¸·¹Ú¸®¸¦ È®ÀÎÇÒ ¼ö ÀÖ´Ù.
 
  
¸Æ¶ô¸· Èæ»öÁ¾ Áø´Ü ÈÄ ±ÙÁ¢ ¹æ»ç¼±Ä¡·á(plaque brachytherapy), ¼ö¼úÀû Á¾¾ç Á¦°Å¼ú(partial lamellar sclerouvectomy), ·¹ÀÌÀú ±¤ÀÀ°í¼ú, °æµ¿°ø ¿Â¿­Ä¡·á(transpupillary thermotherapy)¹× ¾È±¸ ÀûÃâ µîÀÇ Ä¡·á¹ýÀ» °í·ÁÇÒ ¼ö ÀÖ´Ù. ±ÙÁ¢ ¹æ»ç¼±Ä¡·á´Â ¾È±¸ º¸Á¸À» À§Çؼ­ °¡Àå ÈçÈ÷ »ç¿ëÇÏ´Â Ä¡·á¹ýÀ̸ç, ´ë°³ 10mm ÀÌÇÏÀÇ ¸Æ¶ô¸· Èæ»öÁ¾À» Ä¡·áÇÒ ¶§ Àû¿ëÇÑ´Ù. ¿ä¿Àµå-125³ª ·çÅ×´½
-106 µîÀÇ ¹æ»ç¼± µ¿À§¿ø¼Ò°¡ µé¾î ÀÖ´Â ÆÇ(plaque)À» Á¾¾çÀÌ À§Ä¡ÇÑ ºÎÀ§ ¹Ù±ùÂÊ °ø¸· ºÎÀ§¿¡ °íÁ¤½ÃÄÑ º´º¯¿¡ Á÷Á¢ÀûÀ¸·Î ¹æ»ç¼±À» ÂØ¾î Á¾¾ç ¼¼Æ÷µéÀ» ÆÄ±«ÇÏ´Â ¹æ¹ýÀÌ´Ù. 

¼÷·ÃµÈ ¾ÏÁ¾¾ç Àü¹®°¡°¡ Ä¡·áÇØ¾ß Çϸç, ¹æ»ç¼±Á¾¾çÇаú¿ÍÀÇ ÇùÁøÀ» ÅëÇØ ÀûÀýÇÑ Ä¡·á °èȹÀ» ¼ö¸³ÇØ¾ß ¼º°øÀûÀ¸·Î ¸Æ¶ô¸· Èæ»öÁ¾À» Ä¡·áÇÒ ¼ö ÀÖ´Ù. °Ç°­°ËÁøÀ» ¹Þ°Å³ª ´Ù¸¥ ÀÌÀ¯·Î ¾È°ú¿¡ ³»¿øÇߴµ¥ ´« ¾È¿¡ Á¡ÀÌ º¸Àδٴ À̾߱⸦ µéÀ¸½Ç °æ¿ì ¾Ç¼º ¿©ºÎ¸¦ ÆÇº°Çϰí ÃßÀû °üÂûÇϱâ À§ÇØ ¾ÏÁ¾¾ç Àü¹®°¡ÀÇ Áø·á¸¦ ¹ÞÀ¸½Ç °ÍÀ» ±ÇÇÑ´Ù.
±è¹Î ¿¬¼¼´ëÇб³ Àǰú´ëÇÐ ¾È°úÇб³½Ç ºÎ±³¼ö, °­³²¼¼ºê¶õ½ºº´¿ø ¾È°ú
¨Ï °æÁ¦Æ÷Ä¿½º, ¹«´ÜÀüÀç ¹× Àç¹èÆ÷ ±ÝÁö

´ñ±Û 0

ÀÔ·Â
º»Á¡: ¼­¿ï½Ã ½Å¹ÝÆ÷·Î 23±æ 78-15 ½º¸¶Æ®¹Ìµð¾î¼¾ÅÍ (ÁÖ)Á¦À̰æÁ¦¹Ìµð¾î±×·ì  ÁöÁ¡:¼­¿ï ¼­Ãʱ¸ Àá¿øµ¿ 93-11 ¼­¿ï¹Ìµð¾î¼¾ÅÍ
| µî·Ï¹øÈ£ : ¼­¿ï ¾Æ 03492  | û¼Ò³âº¸È£Ã¥ÀÓÀÚ Á¤È£¼® | µî·ÏÀÏÀÚ : 2014.12.19  | ¹ßÇàÀÎ/ÆíÁýÀÎ : Á¤¿µÈÆ ¤ÓÇѱ¹¾ð·Ð±âÀÚÇùȸ ¼­¿ï ¾Æ 03500
¼­¿ï¹Ìµð¾î¼¾ÅÍ, º¸µµÀÚ·á ¹× ±¤°í¹®ÀÇ : ´ëÇ¥ÀüÈ­ :02-6015-0113 FAX : 0504-039-9806  
°æÁ¦Æ÷Ä¿½º ´º½º ¸ðµç ÄÜÅÙÃ÷(±â»ç,»çÁø,¿µ»ó)´Â ÀúÀ۱ǹýÀÇ º¸È£¸¦ ¹ÞÀº¹Ù, ¹«´Ü ÀüÀç¿Í º¹»ç, ¹èÆ÷ µîÀ» ±ÝÇÕ´Ï´Ù.
All rights reserved. mail to banquest@hanmail.net